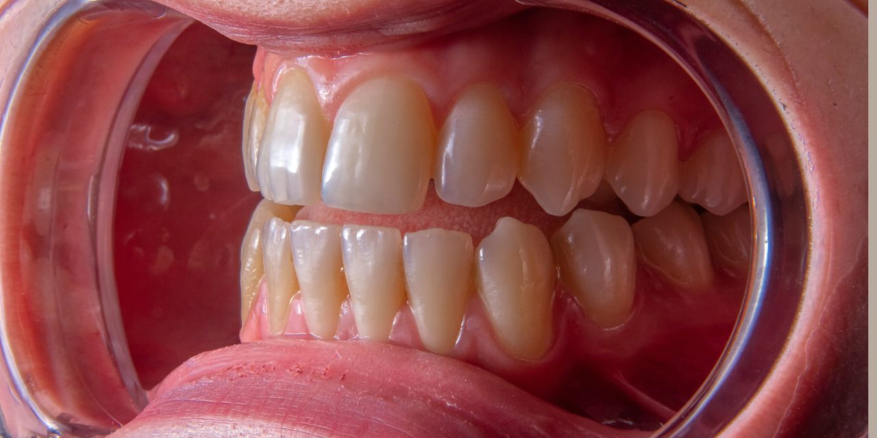
En Clínica Dental Guillén, en Zafra, ofrecemos los sistemas de ortodoncia invisible Invisalign y Spark, dos de las técnicas más avanzadas y discretas para alinear los dientes sin necesidad de brackets metálicos. Cada vez más pacientes eligen la ortodoncia invisible por su comodidad, precisión y estética, convirtiéndose en la opción ideal para adultos y adolescentes...
Lunes a Viernes10AM - 8:30PM
DirecciónAv. López Asme 5, Zafra (Badajoz)













